May 16, 2016 8:33pm
Jasnit Makkar, Guard
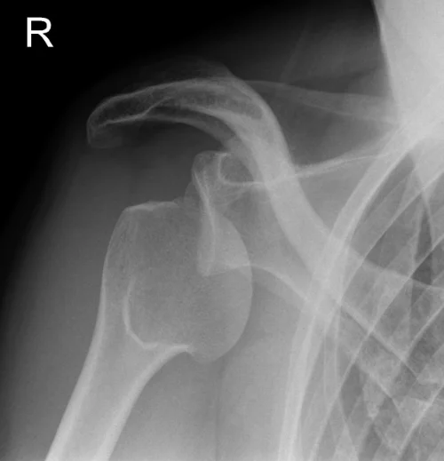
Jasnit Makkar claims to be amazing on the court. Unfortunately during each of our one on one match ups - he has suffered a shoulder dislocation, rendering him unable to complete a game. I question the validity of his injuries, as they always seem to occur towards the end of a game when the opponent has lead. In any event, if we took an xray of his shoulder, this is what it would have looked like. Unfortunately shoulder dislocation often lead to labrum tears which often require season ending surgery such as in the case of Kevin Love during last seasons playoff run.
Here, you can see the humeral head (ball looking thing on left) is not up against the glenoid or scapula. The two should fit together like a puzzle.
